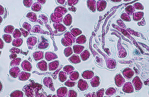
Calanthe discolor : Pollen tetrad and Pollen tube エビネの花粉四分子と発芽伸長中の花粉管
Calanthe discolor : Pollen tetrad and Pollen tube
エビネの花粉四分子と発芽伸長中の花粉管
Calanthe discolor : Pollen tetrad and Pollen tube エビネの花粉四分子と発芽伸長中の花粉管

Calanthe discolor : Pollen tetrad and Pollen tube エビネの花粉四分子と発芽伸長中の花粉管
Calanthe discolor : Pollen tube
寒天培地上で伸長したエビネの花粉管と精核・花粉管核(帯緑色部分)
Orchidaceae ラン科
Calanthe discolor Lindl.
Pollen tetrad, Pollen tube
ex. Japan
S - 60 エビネ 花粉、花粉管
日本産
--> Flower
--> Seed 種子
--> Chromosome 細胞分裂・染色体
Sep. 26, 2003 UP

東京山草会会誌「山草」表紙絵ギャラリー